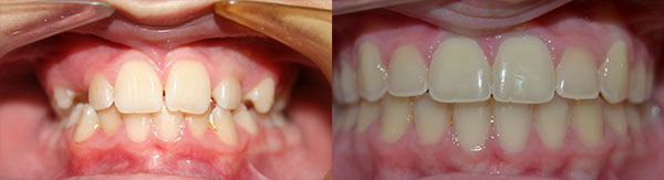
Before and After
Incredible results and inspiring journeys: See some of our patients’ before and after photos the next time you visit our practice.
Incredible results and inspiring journeys: See some of our patients’ before and after photos the next time you visit our practice.